Call Us Today!
(952) 465-0105
New Patients
(952) 225-5280

Missing teeth change more than just your appearance — they affect how you chew, speak, and how your facial structure is supported over time. Advances in implant dentistry now allow clinicians to replace lost teeth with options that closely mimic the function and look of natural teeth. Implants are designed to integrate with the jawbone and provide a foundation for durable restorations that restore comfort and confidence.
Every patient’s situation is unique, and modern implant care begins with an individual assessment that considers oral health, medical history, and personal goals. From single-tooth replacements to full-arch restorations, today’s implant solutions are versatile and predictable when planned and executed with attention to detail.
Northern Star Oral and Maxillofacial Surgery LLC approaches implant treatment with an emphasis on long-term function and natural appearance. Our goal is to rebuild a stable, comfortable bite while preserving the supporting bone and soft tissues that shape your smile.

Traditional bridges and removable dentures have helped millions of people regain basic chewing ability and improved aesthetics. However, implants offer an important advantage: they replace the root structure as well as the visible tooth. This root-level replacement transmits functional forces into the jawbone and helps maintain bone volume and facial contours.
Implants support individual crowns, multi-unit bridges, and implant-retained or implant-supported dentures, allowing a tailored solution depending on the number of teeth missing and the patient’s functional demands. Because they anchor restorations securely, implants eliminate the slipping and movement that can occur with removable prostheses.
When benefits like stability, bone preservation, and natural feel are priorities, implants are frequently the preferred option for long-term oral health and quality of life.
Implant restorations are designed to deliver reliable form and function. With careful placement and appropriate maintenance, implants can provide lasting results that allow patients to eat comfortably, speak clearly, and smile without concern about prosthesis movement.
Because implants do not require alteration of adjacent natural teeth, they preserve tooth structure when compared with some fixed bridge designs. They also support the surrounding bone and soft tissue, helping to maintain a natural facial profile and reduce the collapse that sometimes follows prolonged tooth loss.
Finally, implants remove many common restrictions associated with removable dentures — fewer dietary limitations, improved taste perception, and the peace of mind that comes with a stable restoration.
Great implant outcomes begin with comprehensive planning. This includes a thorough oral exam, imaging to evaluate bone anatomy, and a review of medical history and lifestyle factors that affect healing. A careful plan determines the optimal implant size, number, and position to support the final restoration.
Placement is typically performed on an outpatient basis using appropriate anesthesia or sedation for patient comfort. The implant itself is a biocompatible post placed into the jawbone, and in most cases the surrounding bone gradually bonds to the implant in a process called osseointegration. This biological integration is what gives implants their unique stability.
Depending on the clinical scenario, a temporary prosthesis may be provided while healing takes place, or an immediate provisional restoration can be used in select situations. Final prosthetic design focuses on esthetics, function, and a comfortable bite that fits the patient’s daily needs.
After implant placement, most patients experience a period of healing during which minor discomfort and swelling are common but manageable. Follow-up visits allow the surgeon to monitor tissue response and progression of osseointegration. Good oral hygiene and routine maintenance play a critical role in the longevity of implant-supported restorations.
Long-term success depends on patient habits and regular professional care. Once integrated and restored, implants can function for many years with proper maintenance — a predictable outcome when implant selection, surgical technique, and prosthetic design are aligned with the patient’s needs.
Communication throughout treatment is important: we discuss anesthesia options, the course of healing, and practical steps patients can take at home to support recovery and maintain their investment in oral health.
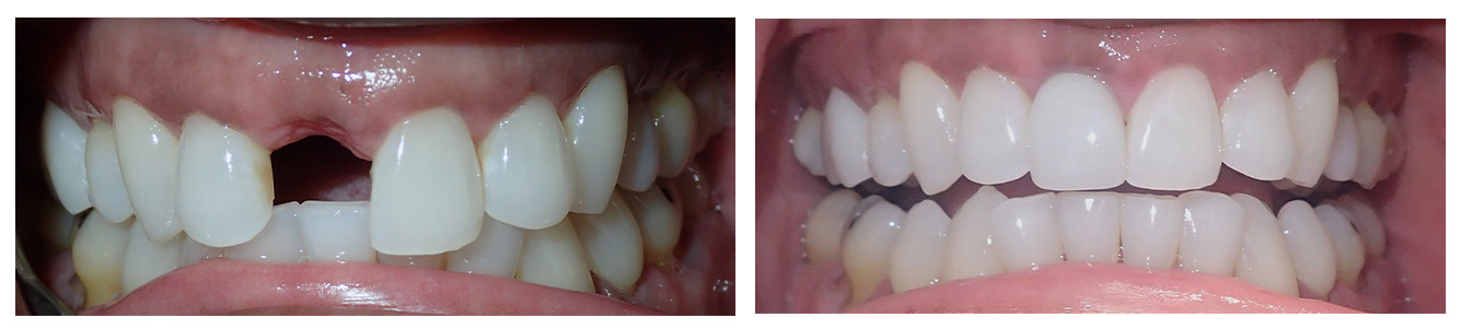
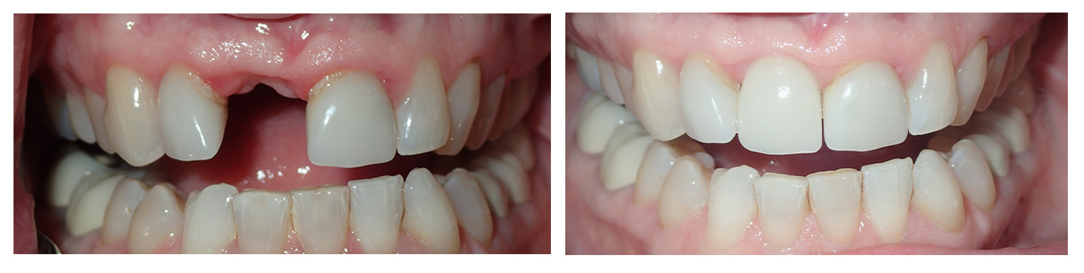
When only one tooth is missing, an implant topped with a crown provides a discreet, long-lasting solution that preserves adjacent teeth. Because the implant supports a single restoration, neighboring teeth do not need to be altered to fill the gap, helping preserve healthy enamel and natural tooth structure.
This approach restores chewing function and appearance while maintaining the integrity of the dental arch. In many cases, a natural-looking crown is fabricated to match your adjacent teeth, integrating seamlessly with your smile.
For two or more missing teeth in a row, an implant-supported bridge can replace lost teeth without relying on adjacent natural teeth for support. Strategically placed implants anchor a bridge of crowns, providing a stable, bone-preserving solution that restores proper chewing mechanics and helps maintain facial structure.
Because the implants bear the load instead of natural teeth, the surrounding dentition is preserved and the bridge can be designed to optimize both function and esthetics.
When an entire dental arch requires replacement, implants can support a fixed full-arch prosthesis or serve as anchors for an overdenture. Fixed implant-supported restorations offer a non-removable option that closely replicates natural teeth, while implant-retained dentures provide enhanced retention and comfort compared with conventional removable dentures.
Both approaches improve chewing efficiency, speaking clarity, and confidence. Treatment is tailored to each patient’s anatomy, expectations, and long-term goals for oral health.


Successful implants require a stable bone foundation. When teeth are lost, bone resorption occurs naturally over time, which can reduce the available volume for implant placement. Evaluating the quantity and quality of the bone is a routine part of implant planning and determines whether augmentation is needed before or at the time of placement.
Where bone volume is inadequate, grafting procedures can rebuild the jaw to create a strong, long-lasting platform for implants. Bone grafts use carefully selected materials to encourage the formation of new bone and restore the contours needed for predictable implant positioning.
Bone grafting is a commonly performed adjunct to implant therapy. In many cases the grafting procedure is straightforward and heals predictably, allowing implant placement once sufficient integration has occurred. The timing and type of graft depend on the individual case and the specific goals of reconstruction.
Our treatment planning addresses these variables and outlines realistic timelines for healing and progression to the final restoration. The objective is to create a strong foundation that supports both function and a natural appearance over the long term.
Determining candidacy for implants involves a holistic review of oral health, systemic health, lifestyle factors, and the desired outcome. Many patients who thought implants were out of reach find that with careful planning and, when necessary, preparatory procedures like grafting, implants become a viable option.
We personalize treatment recommendations to balance clinical needs, esthetic goals, and daily life considerations. A thoughtful consultation identifies the safest, most reliable path forward for rebuilding a healthy, functional smile.
Replacing missing teeth with implants is a long-term investment in oral health, function, and quality of life. With modern techniques and a patient-centered approach, implant therapy can restore a natural-feeling bite, preserve bone and facial form, and reduce the limitations that missing teeth impose on daily life.
Northern Star Oral and Maxillofacial Surgery LLC offers comprehensive implant care grounded in careful planning, thoughtful surgical technique, and prosthetic excellence. We aim to guide each patient through a clear, personalized process from initial consultation to final restoration.
If you’d like to learn more about implant options and whether they might be right for your smile, please contact us for additional information or to schedule an evaluation. We’re happy to answer your questions and outline the next steps toward restoring your oral health.
Dental implants are biocompatible posts that are placed into the jawbone to replace missing tooth roots and provide stable support for restorations. Over time the surrounding bone bonds to the implant in a process called osseointegration, which creates a strong foundation for crowns, bridges, or implant-retained dentures. Because implants replicate root-level support, they help preserve adjacent teeth and maintain jawbone volume and facial contour.
Restorations attached to implants are designed to mimic the shape and function of natural teeth, allowing patients to chew and speak with improved confidence. Implant components include the implant post, an abutment that connects the post to the restoration, and the final prosthetic that restores appearance and function. Proper planning and coordination between surgeon and restorative dentist are important to achieve predictable, long-lasting results.
Candidacy for implants depends on oral health, overall medical status, jawbone quantity and quality, and personal goals for function and esthetics. Many adults who have lost one or more teeth are potential candidates, but evaluation includes a medical history review, clinical exam, and imaging to assess bone and soft tissues. Certain systemic conditions or medications can affect healing, so a full discussion with the surgeon helps identify any factors that may require special planning.
Age alone is not a limiting factor for implants; suitability is determined by tissue health and stability rather than chronological age. Patients who use tobacco or have uncontrolled diabetes may require optimization of health and behavior to improve outcomes. When bone is insufficient, adjunctive procedures such as grafting or sinus augmentation can often create a reliable foundation for implant therapy.
Preparation begins with a thorough consultation that includes a review of medical history, current medications, and any prior dental treatments that affect planning. Imaging such as cone beam CT or panoramic radiographs is typically used to evaluate bone anatomy and plan implant position, and preoperative instructions address fasting, medication adjustments, and transportation if sedation is planned. The practice will discuss anesthesia options and choose an approach that ensures patient comfort and safety during the outpatient procedure.
Patients should follow guidance about medications, including whether to continue or temporarily pause blood-thinning agents in coordination with their prescribing physician. Maintaining good oral hygiene and addressing active infections before surgery improves healing potential. Clear communication about expectations, recovery timelines, and available support helps patients arrive prepared and reduces anxiety on the day of surgery.
On the day of surgery the area is numbed and appropriate anesthesia or sedation is provided to ensure comfort, and small incisions are made to access the jawbone for implant placement. The surgeon uses precise measurements and guides to position the implant in the planned location, then replaces soft tissue to allow healing or places a healing cap depending on the protocol. The procedure is performed on an outpatient basis and typically takes less time than many patients expect for single-tooth or localized implant placements.
After placement the implant goes through a healing phase during which bone gradually bonds to the implant surface, and follow-up visits monitor tissue response and stability. A temporary prosthesis may be used as indicated while osseointegration occurs, or in select cases an immediate provisional restoration can be placed. Once integration is confirmed, the final prosthetic is fabricated to restore form, function, and esthetics.
Implants can support a range of restorations, including single crowns for isolated tooth replacement, implant-supported bridges for multiple adjacent missing teeth, and fixed full-arch prostheses for complete rehabilitation. Implant-retained overdentures are another option that improves retention and function while remaining removable for hygiene. The choice of restoration depends on the number and position of missing teeth, bone anatomy, esthetic goals, and functional needs.
Materials and design are selected to balance durability and appearance, with attention to occlusion and soft-tissue support for a natural result. Communication between the surgical and restorative teams ensures that implant position and angulation are optimized for the planned prosthesis. Patient lifestyle and maintenance preferences also inform the final restoration selection to support long-term success.
Immediate post-operative recovery usually involves mild to moderate swelling, bruising, and discomfort that can be managed with prescribed or over-the-counter medications and common home care measures. Most patients return to normal light activities within a few days, while complete healing and osseointegration may take several weeks to a few months depending on the clinical situation. Follow-up appointments allow the surgeon to monitor healing and determine the appropriate timing for prosthetic restoration.
Good oral hygiene, adherence to post-operative instructions, and avoidance of tobacco use support optimal healing and reduce complications. Diet modifications during the initial healing phase minimize stress on the surgical site, and sutures are typically removed or resorb within a couple of weeks as tissues recover. Ongoing professional care and routine dental visits are important after restoration to maintain health and function over time.
Bone grafting is recommended when jawbone volume or quality is insufficient to support an implant in the desired position, which can occur after tooth loss or due to infection or trauma. Grafting restores the ridge contours and creates a stable foundation for predictable implant placement, helping to achieve long-term function and esthetics. Techniques range from small localized grafts to larger ridge augmentations or sinus lifts, tailored to the anatomy and treatment timeline.
The graft material may be autogenous bone, donor bone, bovine-derived material, or synthetic substitutes, and the choice depends on the clinical goals and surgeon preference. Healing time after grafting varies with the procedure and material used, and some cases proceed to implant placement in a staged approach while others allow simultaneous implant placement. Careful planning and patient cooperation during recovery optimize the chances for successful integration of both graft and implant.
As with any surgical procedure, implant therapy carries potential risks such as infection, bleeding, swelling, and transient numbness or altered sensation in adjacent nerves, though serious complications are uncommon with careful planning. Implant failure due to lack of osseointegration can occur, particularly when risk factors like smoking, poor oral hygiene, or uncontrolled systemic conditions are present. The surgical team discusses these risks during the consultation and takes steps to reduce them through appropriate technique and preoperative optimization.
Long-term complications can include peri-implant mucositis or peri-implantitis, which are inflammatory conditions affecting soft tissue and supporting bone and require professional management. Regular maintenance, early detection of problems, and prompt treatment of soft-tissue inflammation are key to preserving implant health. Informed consent and open communication ensure patients understand both benefits and potential drawbacks before proceeding.
Daily oral hygiene is essential for implant longevity and includes thorough brushing, interdental cleaning with floss or interdental brushes, and rinsing as recommended by the clinical team. Professional maintenance visits at regular intervals allow the dentist or hygienist to assess implant health, remove plaque and calculus, and monitor soft tissue and bone levels around the implant. Adopting healthy habits such as avoiding tobacco and managing systemic health supports durable outcomes.
If you notice persistent redness, swelling, bleeding, or changes in the fit or comfort of a restoration, contact your dental team promptly for evaluation. Early intervention for soft-tissue inflammation or prosthetic issues can prevent progression to more serious problems. A collaborative approach between patient and dental professionals helps maintain function and esthetics for many years.
To schedule a consultation or to learn whether implant dentistry is right for you, contact the office to arrange an initial evaluation with one of the surgeons. During the consultation the team will review your medical and dental history, perform a clinical exam, and obtain imaging as needed to develop a personalized treatment plan that addresses your functional and esthetic goals. This visit is an opportunity to discuss anesthesia options, the anticipated sequence of care, and any preparatory procedures that may be required.
The practice emphasizes clear communication and coordinated care between surgical and restorative providers to support successful outcomes. If you decide to proceed, the team will outline the next steps, expected timelines for healing, and follow-up schedules so you can make an informed decision about your treatment path. Feel free to ask questions at any time to ensure the plan aligns with your needs and expectations.
